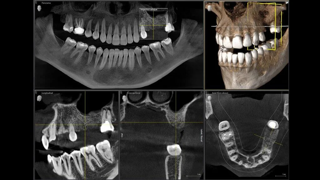
O scanare CBCT este, în termeni simpli, o radiografie 3D a întregii guri, incluzând toți dinții, sinusurile maxilare, oasele maxilarului superior și inferior, căile nervoase etc. Este un puternic instrument pe care îl folosim în medicina dentară în scop diagnostic, fiind de mare ajutor în special când ne pregătim pentru o intervenție chirurgicală. Scanarea CBCT are niveluri de expunere la radiație considerabil mai scăzute în comparație cu o scanare CT obișnuită și este capturată și înregistrată cu același aparat care face radiografia panoramică digitală, așa că este posibil să fiți deja familiarizați cu acesta.
Programați o consultație
La fel ca și radiografia panoramică, va dezvălui particularități anatomice importante care ne vor ajuta în deciziile noastre medicale cu privire la cazul dumneavoastră, dar totul va fi afișat în 3D. Aceasta înseamnă că aspectele care ar putea fi ascunse pe o radiografie 2D sunt vizibile clar pe scanarea CBCT.
O scanare CBCT poate fi necesară atunci când vă pregătiți pentru tratamente cum ar fi: implanturi dentare, augmentare osoasă, tratamente ortodontice, tratamente de canal, extracții dentare, extracția molari de minte etc. În majoritatea cazurilor în care este necesară o intervenție chirurgicală, se va face o scanare CBCT pentru a face o examinare și un plan de tratament corect și complet.
Ce poate dezvălui o scanare CBCT?
- forma și poziția dinților și a rădăcinilor acestora in 3D
- posibile anomalii dentare (marime, formă, număr, poziție, structură, creștere)
- vedere 3D a implanturilor dentare în interiorul osului
- aspectul 3D al osului prezent: forma, dimensiunea și câteva detalii despre calitatea acestuia
- aspecte 3D ale extinderii resorbției osoase (pierderea osoasă)
- poziția molarilor de minte în 3D și posibila traiectorie de erupție
- aspecte 3D ale extinderii bolii parodontale
- semne subtile de boală în interiorul camerei pulpare sau a canalelor rădăciniilor dentare
- evaluare 3D a tratamentului canalelor radiculare
- aspecte 3D ale afecțiunilor din interiorul osului (cum ar fi chisturi, tumori și infecții)
- o vedere 3D a sinusurilor maxilare și a ATM (articulația temporomandibulară).
Cum să vă pregătiți pentru o scanare CBCT?
Dacă există posibilitatea să fiți însărcinată, trebuie să evitați orice expunere la radiații! Vă rugăm să ne informați înainte de orice radiografie sau tomografie computerizată, chiar dacă nu sunteți sigură!
Procedura este destul de simplă și nu necesită pregătire specială, însă există câteva lucruri importante pe care trebuie să le știți în prealabil:
- Vi se va cere să îndepărtați obiectele metalice care pot interfera cu scanarea: ochelari de vedere, proteze dentare detașabile și bijuterii.
- Asistenta noastră vă va ajuta să vă puneți un șorț căptușit cu plumb care vă va proteja corpul împotriva expunerii. Ea vă va ajuta să vă poziționați mâinile și capul în unitatea centrală.
- În timpul scanării, trebuie să stați nemișcat, pentru a obține o imagine clară, așa că asigurați-vă că nu vă mișcați până când asistenta nostră vă spune că procedura s-a încheiat. Ea va apăsa un buton pentru a activa aparatul din afara camerei.
- Un braț al aparatului se va roti în jurul capului dvs. timp de câteva secunde și va capta imaginile care compun scanarea CBCT. Procedura este complet nedureroasă și de obicei nu există disconfort.
- Imaginea digitală 3D va apărea pe ecranul computerului nostru și va fi adăugată la fisa dumneavoastră medicală ca fișier electronic. Imaginea este reglabilă pentru o mai bună vizualizare.
- Nivel de expunere este extrem de scăzut, iar după scanare nu rămân radiații în organism.
Radiografia cefalometrică digitală
Radiografia cefalometrică sau teleradiografia de craniu este folosită în analiza și diagnosticarea pacienților care sunt luați în considerare pentru un tratament ortodontic. Aceasta permite medicului specialist ortodont să studieze oasele faciale și reperele țesuturilor moi ale feței. Alături de radiografia panoramică digitală, radiografia cefalometrică este obligatorie în realizarea unui plan de tratament corect si complet.
Scanarea se face și se înregistrează cu același aparat care realizează radiografiile panoramice și scanarea CBCT, așa că este posibil să fiți deja familiarizați cu aceasta. Diferența este că pentru teleradiografie va fi folosită o altă extensie a aparatului. Aceasta se numește braț cefalometric și va ține capul pacientului în poziția corectă în timpul procedurii. Odată ce scanarea este finalizată, computerul nostru o va converti într-o imagine digitală care poate fi ajustată și mărită, permițând medicului ortodont să facă adnotări și măsurători.
Cum să vă pregătiți pentru o teleradiografie?
Dacă există posibilitatea să fiți însărcinată, atunci ar trebui să evitați orice expunere la radiații! Vă rugăm să ne informați înainte de orice radiografie sau tomografie, chiar dacă nu sunteți sigură!
Procedura este destul de simplă și nu necesită pregătire specială, însă există câteva lucruri importante pe care trebuie să le știți în prealabil:
- Vi se va cere să îndepărtați orice obiecte metalice care pot interfera cu scanarea: ochelari de vedere, proteze dentare detașabile și bijuterii.
- Asistenta nostră vă va ajuta să vă puneți un șorț căptușit cu plumb care vă va proteja corpul împotriva expunerii. Ea vă va ajuta să vă poziționați capul în brațul cefalometric.
- În timpul procedurii, trebuie să stați nemișcat pentru a obține o imagine clară, așa că asigurați-vă că nu vă mișcați până când asistenta noastră vă spune că procedura s-a încheiat. Ea va apăsa un buton pentru a activa aparatul din afara încăperii.
- O extensie special adaptată a aparatului va captura imaginea care compune scanarea cefalometrică în câteva secunde. Procedura este complet nedureroasă și de obicei nu există disconfort.
- Imaginea va fi convertită în format digital pe computerul nostru și va fi adăugată la fișa dvs. medicală ca fișier electronic.
- Nivelul de expunere este extrem de scăzut, iar după această scanare nu rămân radiații în organism.

